The Calnexin Antibody (CAB15631) is a high-quality antibody developed for reliable detection and analysis of target proteins. This gene encodes a member of the calnexin family of molecular chaperones. The encoded protein is a calcium-binding, endoplasmic reticulum (ER)-associated protein that interacts transiently with newly synthesized N-linked glycoproteins, facilitating protein folding and assembly. It may also play a central role in the quality control of protein folding by retaining incorrectly folded protein subunits within the ER for degradation. Alternatively spliced transcript variants encoding different isoforms have been described. RRID AB_2763039 Gene ID 821 Swiss Prot Synonym CNX; P90; IP90; Calnexin
This antibody is validated for use in WB, IF/ICC, IHC-P ELISA applications and has demonstrated reactivity against Human, Mouse, Rat samples.
Product Name:
Calnexin Antibody
SKU:
CAB15631
Size:
100μL, 20μL
Reactivity:
Human, Mouse, Rat
Clone Number:
-
Conjugate:
Unconjugated
Immunogen:
Synthetic peptide. This information is considered to be commercially sensitive.
Tested Applications:
WBIF/ICCIHC-P ELISA
Recommended Dilution:
WB
1:1000 - 1:5000
IF
/
ICC
1:50 - 1:200
IHC-P
1:500 - 1:2000
ELISA
Recommended starting concentration is 1 μg/mL. Please optimize the concentration based on your specific assay requirements.
Synonyms:
CNX, P90, IP90, Calnexin
Positive Sample:
HeLa, PANC-1
Cellular Localization:
Endoplasmic Reticulum, Endoplasmic Reticulum Membrane, Melanosome, Single-Pass Type I Membrane Protein.
Calculated MW:
68 kDa
Observed MW:
90 kDa
This gene encodes a member of the calnexin family of molecular chaperones. The encoded protein is a calcium-binding, endoplasmic reticulum (ER)-associated protein that interacts transiently with newly synthesized N-linked glycoproteins, facilitating protein folding and assembly. It may also play a central role in the quality control of protein folding by retaining incorrectly folded protein subunits within the ER for degradation. Alternatively spliced transcript variants encoding different isoforms have been described. RRID AB_2763039 Gene ID 821 Swiss Prot Synonym CNX; P90; IP90; Calnexin
Purification Method:
Affinity purification
Gene ID:
821
RRID:
AB_2763039
Buffer Information:
Store at -20℃. Avoid freeze / thaw cycles. Buffer: PBS containing 50% glycerol, preserved with proclin300 or sodium azide, pH 7.3.
Western blot analysis of various lysates using Calnexin Rabbit pAb (CAB15631) at 1:5000 dilution incubated overnight at 4℃. Secondary antibody: HRP-conjugated Goat anti-Rabbit IgG (H+L) (AS014) at 1:10000 dilution. Lysates/proteins: 25 μg per lane. Blocking buffer: 3% nonfat dry milk in TBST. Detection: ECL Basic Kit (AbGn00020). Exposure time: 5 s.
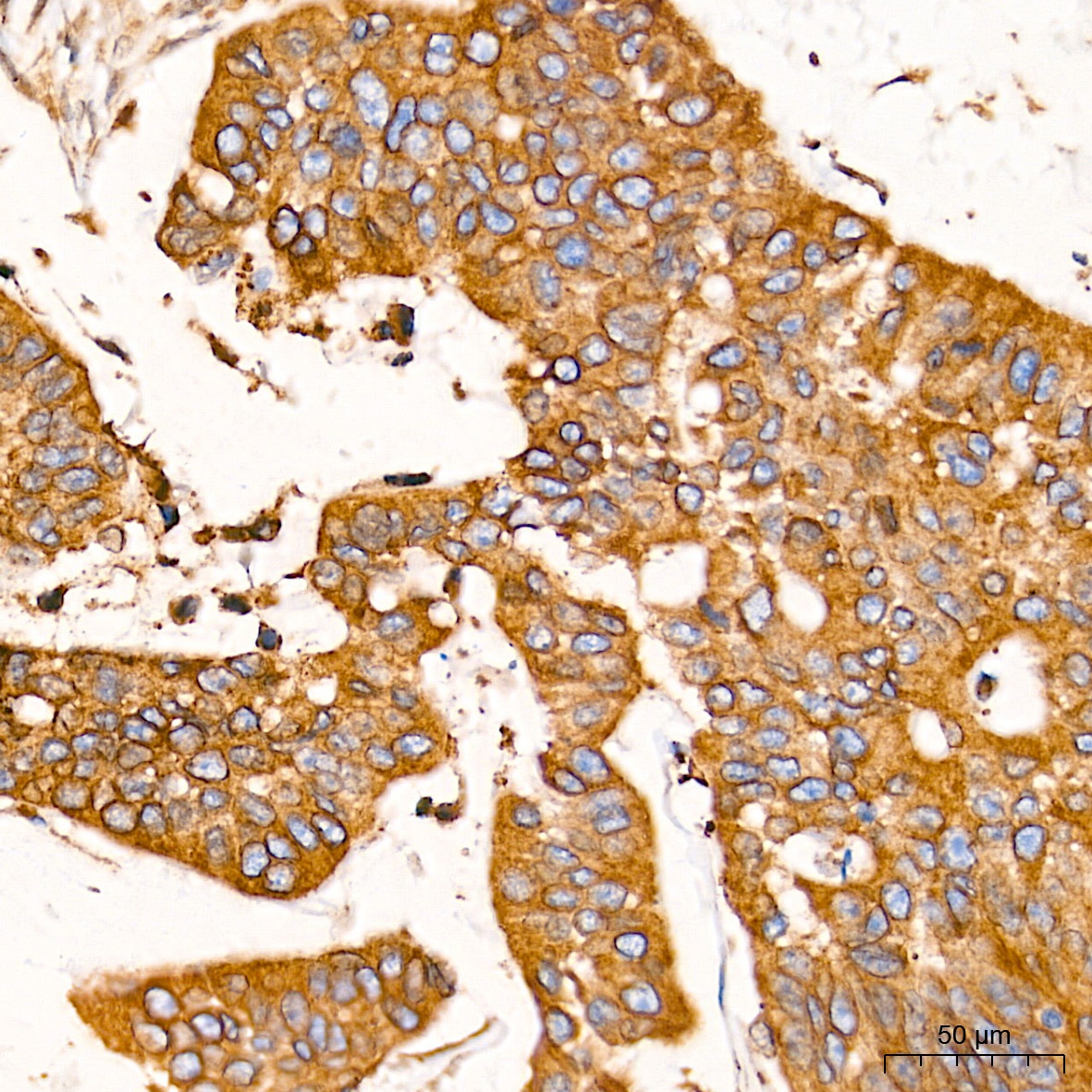
Immunohistochemistry analysis of paraffin-embedded Human colon carcinoma tissue using Calnexin Rabbit pAb (CAB15631) at a dilution of 1:2000 (40x lens). High pressure antigen retrieval performed with 0.01M Tris-EDTA Buffer (pH 9.0) prior to IHC staining.
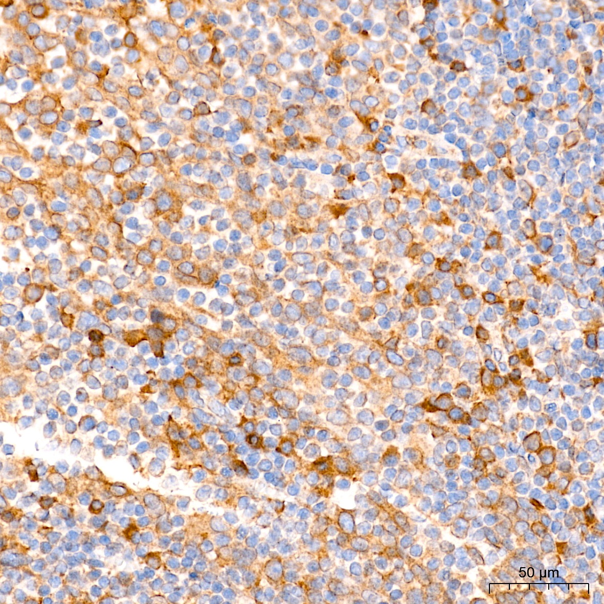
Immunohistochemistry analysis of paraffin-embedded Human tonsil tissue using Calnexin Rabbit pAb (CAB15631) at a dilution of 1:2000 (40x lens). High pressure antigen retrieval performed with 0.01M Tris-EDTA Buffer (pH 9.0) prior to IHC staining.
Immunofluorescence analysis of PC-12 cells using Calnexin Rabbit pAb (CAB15631) at dilution of 1:20 (40x lens). Secondary antibody: Cy3-conjugated Goat anti-Rabbit IgG (H+L) (AS007) at 1:500 dilution. Blue: DAPI for nuclear staining.