EXPH5 Antibody is a premium polyclonal that offers outstanding performance and reliability for demanding research applications. Rigorously validated for ELISA, IHC, this antibody ensures consistent, reproducible results across multiple experimental platforms. Demonstrates excellent reactivity with Human samples, providing researchers with confidence in cross-species compatibility. Conveniently packaged in 50ug format to meet your experimental needs. For optimal performance, store at -20°C or -80°C and maintains stability for 12 months. Backed by rigorous quality control testing to ensure superior performance in your critical research applications.
Product Name:
EXPH5 Antibody
SKU:
PACO46918
Size:
50μg
Isotype:
IgG
Host Species:
Rabbit
Reactivity:
Human
Immunogen:
Recombinant Human Exophilin-5 protein (1235-1490AA)
Immunogen Species:
Homo sapiens (Human)
Uniprot No:
Q8NEV8
Form:
Liquid
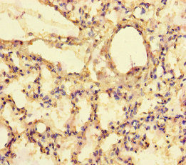
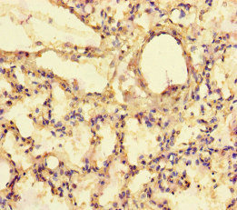
Tested Applications:
ELISAIHC
Recommended Dilution:
Application
Recommended Dilution
IHC
1:20-1:200
Synonyms:
EXPH5 antibody, KIAA0624 antibody, SLAC2BExophilin-5 antibody, Synaptotagmin-like protein homolog lacking C2 domains b antibody, SlaC2-b antibody, Slp homolog lacking C2 domains b antibody