GRAMD4 Antibody is a premium polyclonal that offers outstanding performance and reliability for demanding research applications. Rigorously validated for ELISA, WB, IHC, this antibody ensures consistent, reproducible results across multiple experimental platforms. Demonstrates excellent reactivity with Human, Mouse samples, providing researchers with confidence in cross-species compatibility. Conveniently packaged in 50ug format to meet your experimental needs. For optimal performance, store at -20°C or -80°C and maintains stability for 12 months. Backed by rigorous quality control testing to ensure superior performance in your critical research applications.
Product Name:
GRAMD4 Antibody
SKU:
PACO48662
Size:
50μg
Isotype:
IgG
Host Species:
Rabbit
Reactivity:
Human, Mouse
Immunogen:
Recombinant Human GRAM domain-containing protein 4 protein (23-161AA)
Immunogen Species:
Homo sapiens (Human)
Uniprot No:
Q6IC98
Form:
Liquid
Tested Applications:
ELISAWBIHC
Recommended Dilution:
Application
Recommended Dilution
WB
1:500-1:5000
IHC
1:20-1:200
Synonyms:
GRAMD4, DIP, KIAA0767, GRAM domain-containing protein 4, Death-inducing protein
Western Blot Positive WB detected in: Mouse brain tissue All lanes: GRAMD4 antibody at 3.4µg/ml Secondary Goat polyclonal to rabbit IgG at 1/50000 dilution Predicted band size: 67, 11 kDa Observed band size: 67 kDa
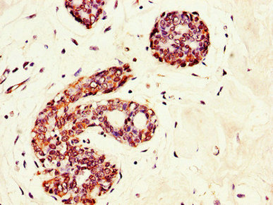
Immunohistochemistry of paraffin-embedded human breast cancer using PACO48662 at dilution of 1:100
Western Blot Positive WB detected in: MCF-7 whole cell lysate All lanes: GRAMD4 antibody at 5µg/ml Secondary Goat polyclonal to rabbit IgG at 1/50000 dilution Predicted band size: 67, 11 kDa Observed band size: 67 kDa