MKRN1 Antibody is a premium polyclonal that offers outstanding performance and reliability for demanding research applications. Rigorously validated for ELISA, IHC, this antibody ensures consistent, reproducible results across multiple experimental platforms. Demonstrates excellent reactivity with Human samples, providing researchers with confidence in cross-species compatibility. Conveniently packaged in 50ug format to meet your experimental needs. For optimal performance, store at -20°C or -80°C and maintains stability for 12 months. Backed by rigorous quality control testing to ensure superior performance in your critical research applications.
Product Name:
MKRN1 Antibody
SKU:
PACO56202
Size:
50μg
Isotype:
IgG
Host Species:
Rabbit
Reactivity:
Human
Immunogen:
Recombinant Human E3 ubiquitin-protein ligase makorin-1 protein (109-209AA)
Immunogen Species:
Homo sapiens (Human)
Uniprot No:
Q9UHC7
Form:
Liquid
Tested Applications:
ELISAIHC
Recommended Dilution:
Application
Recommended Dilution
IHC
1:500-1:1000
Synonyms:
E3 ubiquitin-protein ligase makorin-1 antibody, FLJ21334 antibody, HGNC:7112 antibody, Makorin antibody, Makorin ring finger protein 1 antibody, MKRN 1 antibody, mkrn1 antibody, MKRN1_HUMAN antibody, OTTHUMP00000212117 antibody, OTTHUMP00000212118 antibody, OTTHUMP00000212121 antibody, OTTHUMP00000212124 antibody, Ring finger protein 1 antibody, RING finger protein 61 antibody, RNF61 antibody
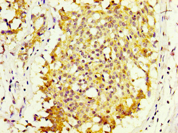
IHC image of PACO56202 diluted at 1:600 and staining in paraffin-embedded human breast cancer performed on a Leica BondTM system. After dewaxing and hydration, antigen retrieval was mediated by high pressure in a citrate buffer (pH 6.0). Section was blocked with 10% normal goat serum 30min at RT. Then primary antibody (1% BSA) was incubated at 4°C overnight. The primary is detected by a biotinylated secondary antibody and visualized using an HRP conjugated SP system.