NPRL3 Antibody is a premium polyclonal that offers outstanding performance and reliability for demanding research applications. Rigorously validated for ELISA, WB, IHC, this antibody ensures consistent, reproducible results across multiple experimental platforms. Demonstrates excellent reactivity with Human samples, providing researchers with confidence in cross-species compatibility. Conveniently packaged in 50ug format to meet your experimental needs. For optimal performance, store at -20°C or -80°C and maintains stability for 12 months. Backed by rigorous quality control testing to ensure superior performance in your critical research applications.
Product Name:
NPRL3 Antibody
SKU:
PACO60965
Size:
50μg
Isotype:
IgG
Host Species:
Rabbit
Reactivity:
Human
Immunogen:
Recombinant Human GATOR complex protein NPRL3 protein (349-482AA)
Immunogen Species:
Homo sapiens (Human)
Uniprot No:
Q12980
Form:
Liquid
Tested Applications:
ELISAWBIHC
Recommended Dilution:
Application
Recommended Dilution
WB
1:500-1:5000
IHC
1:200-1:500
Synonyms:
otein antibody, Alpha-globin regulatory element-containing gene protein antibody, C16ORF35 antibody, CGTHBA antibody, Conserved gene telomeric to alpha globin cluster antibody, HS 40 antibody, MARE antibody, Nitrogen permease regulator 3-like protein antibody, Nitrogen permease regulator-like 3 (S. cerevisiae) antibody, NPR3 antibody, NPRL3 antibody, NPRL3_HUMAN antibody, Protein CGTHBA antibody, RMD11 antibody
Western Blot Positive WB detected in: U87 whole cell lysate All lanes: NPRL3 antibody at 2.7µg/ml Secondary Goat polyclonal to rabbit IgG at 1/50000 dilution Predicted band size: 64 kDa Observed band size: 64 kDa
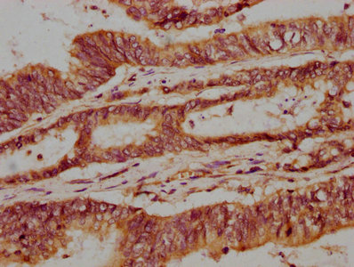
IHC image of PACO60965 diluted at 1:300 and staining in paraffin-embedded human colon cancer performed on a Leica BondTM system. After dewaxing and hydration, antigen retrieval was mediated by high pressure in a citrate buffer (pH 6.0). Section was blocked with 10% normal goat serum 30min at RT. Then primary antibody (1% BSA) was incubated at 4°C overnight. The primary is detected by a biotinylated secondary antibody and visualized using an HRP conjugated SP system.