OLFML3 Antibody is a premium polyclonal that offers outstanding performance and reliability for demanding research applications. Rigorously validated for ELISA, WB, IHC, this antibody ensures consistent, reproducible results across multiple experimental platforms. Demonstrates excellent reactivity with Human, Rat samples, providing researchers with confidence in cross-species compatibility. Conveniently packaged in 50ug format to meet your experimental needs. For optimal performance, store at -20°C or -80°C and maintains stability for 12 months. Backed by rigorous quality control testing to ensure superior performance in your critical research applications.
Product Name:
OLFML3 Antibody
SKU:
PACO52850
Size:
50μg
Isotype:
IgG
Host Species:
Rabbit
Reactivity:
Human, Rat
Immunogen:
Recombinant Human Olfactomedin-like protein 3 protein (201-406AA)
Immunogen Species:
Homo sapiens (Human)
Uniprot No:
Q9NRN5
Form:
Liquid
Tested Applications:
ELISAWBIHC
Recommended Dilution:
Application
Recommended Dilution
WB
1:500-1:5000
IHC
1:20-1:200
Synonyms:
HNOEL-iso antibody, hOLF44 antibody, OLF44 antibody, Olfactomedin like 3 antibody, Olfactomedin-like protein 3 antibody, OLFL3_HUMAN antibody, OLFML3 antibody
Western Blot Positive WB detected in: Rat skeletal muscle tissue All lanes: OLFML3 antibody at 2µg/ml Secondary Goat polyclonal to rabbit IgG at 1/50000 dilution Predicted band size: 47, 44, 33 kDa Observed band size: 47 kDa
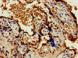
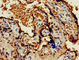
Immunohistochemistry of paraffin-embedded human placenta tissue using PACO52850 at dilution of 1:100
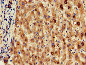
Immunohistochemistry of paraffin-embedded human liver tissue using PACO52850 at dilution of 1:100