RBFA Antibody is a premium polyclonal that offers outstanding performance and reliability for demanding research applications. Rigorously validated for ELISA, WB, IHC, this antibody ensures consistent, reproducible results across multiple experimental platforms. Demonstrates excellent reactivity with Human, Mouse, Rat samples, providing researchers with confidence in cross-species compatibility. Conveniently packaged in 50ug format to meet your experimental needs. For optimal performance, store at -20°C or -80°C and maintains stability for 12 months. Backed by rigorous quality control testing to ensure superior performance in your critical research applications.
Product Name:
RBFA Antibody
SKU:
PACO52586
Size:
50μg
Isotype:
IgG
Host Species:
Rabbit
Reactivity:
Human, Mouse, Rat
Immunogen:
Recombinant Human Putative ribosome-binding factor A, mitochondrial protein (201-343AA)
Immunogen Species:
Homo sapiens (Human)
Uniprot No:
Q8N0V3
Form:
Liquid
Tested Applications:
ELISAWBIHC
Recommended Dilution:
Application
Recommended Dilution
WB
1:500-1:5000
IHC
1:20-1:200
Synonyms:
Chromosome 18 open reading frame 22 antibody, HsT169 antibody, Hypothetical protein LOC79863 antibody, mitochondrial antibody, Putative ribosome binding factor A, mitochondrial precursor antibody, Putative ribosome-binding factor A antibody, rbfA antibody, RBFA_HUMAN antibody
Western Blot Positive WB detected in: Hela whole cell lysate, A549 whole cell lysate, HepG2 whole cell lysate, Mouse brain tissue, Rat heart tissue All lanes: RBFA antibody at 2µg/ml Secondary Goat polyclonal to rabbit IgG at 1/50000 dilution Predicted band size: 39, 28 kDa Observed band size: 39 kDa
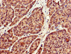
Immunohistochemistry of paraffin-embedded human ovarian cancer using PACO52586 at dilution of 1:100
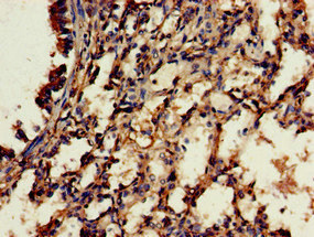
Immunohistochemistry of paraffin-embedded human lung tissue using PACO52586 at dilution of 1:100