The SLC25A13 Polyclonal Antibody (CAB5849) is a high-quality antibody developed for reliable detection and analysis of target proteins. The antibody, produced in rabbits, shows high reactivity with human samples and has been validated for use in Western blot applications. By binding to the SLC25A13 protein, this antibody enables accurate detection and analysis in various cell types, making it an essential tool for studies in metabolism, mitochondrial function, and metabolic disorders.SLC25A13 plays a crucial role in citrate metabolism and the regulation of cellular energy production, making it a target of interest in research related to metabolic diseases, obesity, and diabetes.
This antibody is validated for use in WB, IHC-P, ELISA applications and has demonstrated reactivity against Human, Mouse samples.
Product Name:
SLC25A13 Polyclonal Antibody
SKU:
CAB5849
Size:
20μL, 100μL
Reactivity:
Human, Mouse
Conjugate:
Unconjugated
Immunogen:
Recombinant protein (or fragment).This information is considered to be commercially sensitive.
This gene is a member of the mitochondrial carrier family. The encoded protein contains four EF-hand Ca(2+) binding motifs in the N-terminal domain, and localizes to mitochondria. The protein catalyzes the exchange of aspartate for glutamate and a proton across the inner mitochondrial membrane, and is stimulated by calcium on the external side of the inner mitochondrial membrane. Mutations in this gene result in citrullinemia, type II. Multiple transcript variants encoding different isoforms have been found for this gene.
Purification Method
Affinity purification
Gene ID
10165
RRID
AB_2766599
Buffer Information
Store at -20℃. Avoid freeze / thaw cycles. Buffer: PBS containing 50% glycerol, preserved with proclin300 or sodium azide, pH 7.3.
Western blot analysis of various lysates, using SLC25A13 Rabbit pAb (CAB5849) at 1:400 dilution. Secondary antibody: HRP-conjugated Goat anti-Rabbit IgG (H+L) (CABS014) at 1:10000 dilution. Lysates/proteins: 25μg per lane. Blocking buffer: 3% nonfat dry milk in TBST. Detection: ECL Basic Kit (AbGn00020). Exposure time: 30s.
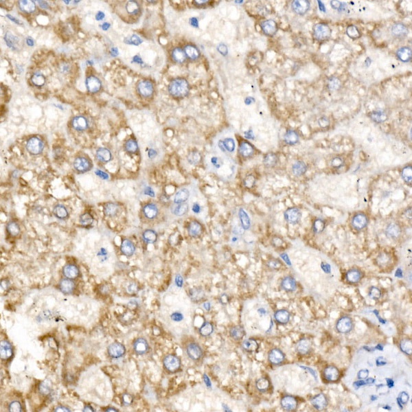
Immunohistochemistry analysis of paraffin-embedded Human liver using SLC25A13 Rabbit pAb (CAB5849) at dilution of 1:20 (40x lens). High pressure antigen retrieval performed with 0.01M Citrate buffer (pH 6.0) prior to IHC staining.