The SMU1 Antibody (CAB9110) is a high-quality antibody developed for reliable detection and analysis of target proteins. This antibody, produced in rabbits, exhibits high reactivity with human samples and has been validated for use in Western blot applications. By binding specifically to the SMU1 protein, this antibody enables accurate detection and analysis in a variety of cell types, making it ideal for investigations in molecular biology and genetics.SMU1, also known as Smu-1 suppressor of mec-8 and UNC-52 protein 1, is essential for the proper splicing of mRNA transcripts, ensuring accurate gene expression and protein production.
This antibody is validated for use in WB, ELISA applications and has demonstrated reactivity against Human, Mouse, Rat samples.
Product Name:
SMU1 Antibody
SKU:
CAB9110
Size:
20μL, 100μL
Reactivity:
Human, Mouse, Rat
Conjugate:
Unconjugated
Immunogen:
Recombinant protein (or fragment).This information is considered to be commercially sensitive.
Recommended starting concentration is 1 μg/mL. Please optimize the concentration based on your specific assay requirements.
Synonyms:
BWD, SMU-1, fSAP57, SMU1
Positive Sample:
HeLa, A-431, HT-29, Mouse liver, Mouse intestine
Cellular Localization:
Cytoplasm, Nucleus.
Calculated MW:
58kDa
Observed MW:
50kDa
Involved in mRNA splicing, via spliceosome. Located in nucleus. Part of U2-type precatalytic spliceosome.
Purification Method
Affinity purification
Gene ID
55234
RRID
AB_2772319
Buffer Information
Store at -20℃. Avoid freeze / thaw cycles. Buffer: PBS containing 50% glycerol, preserved with proclin300 or sodium azide, pH 7.3.
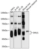
Western blot analysis of various lysates using SMU1 Rabbit pAb (CAB9110) at 1:1000 dilution. Secondary antibody: HRP-conjugated Goat anti-Rabbit IgG (H+L) (CABS014) at 1:10000 dilution. Lysates/proteins: 25μg per lane. Blocking buffer: 3% nonfat dry milk in TBST. Detection: ECL Basic Kit (AbGn00020). Exposure time: 10s.