The TEAD4 Antibody (CAB4151) is a high-quality antibody developed for reliable detection and analysis of target proteins. This antibody, produced in rabbits, is highly specific to human samples and has been validated for use in Western blot applications. It binds specifically to the TEAD4 protein, allowing for accurate detection and analysis in a variety of cell types.TEAD4 is a critical player in various cellular processes, including development, stem cell pluripotency, and tumorigenesis. Its dysregulation has been implicated in a range of diseases, making it an attractive target for studies in cancer biology, regenerative medicine, and developmental biology.
This antibody is validated for use in WB, ELISA applications and has demonstrated reactivity against Human, Mouse, Rat samples.
Product Name:
TEAD4 Antibody
SKU:
CAB4151
Size:
20μL, 100μL
Reactivity:
Human, Mouse, Rat
Conjugate:
Unconjugated
Immunogen:
Recombinant protein (or fragment).This information is considered to be commercially sensitive.
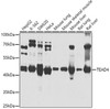
HepG2, K-562, SW620, HeLa, Mouse lung, Mouse skeletal muscle, Mouse liver, Rat lung, Rat liver
Cellular Localization:
Nucleus.
Calculated MW:
48kDa
Observed MW:
48kDa
This gene product is a member of the transcriptional enhancer factor (TEF) family of transcription factors, which contain the TEA/ATTS DNA-binding domain. It is preferentially expressed in the skeletal muscle, and binds to the M-CAT regulatory element found in promoters of muscle-specific genes to direct their gene expression. Alternatively spliced transcripts encoding distinct isoforms, some of which are translated through the use of a non-AUG (UUG) initiation codon, have been described for this gene.
Purification Method
Affinity purification
Gene ID
7004
RRID
AB_2765527
Buffer Information
Store at -20℃. Avoid freeze / thaw cycles. Buffer: PBS containing 50% glycerol, preserved with proclin300 or sodium azide, pH 7.3.
Western blot analysis of various lysates using TEAD4 Rabbit pAb (CAB4151) at 1:1000 dilution. Secondary antibody: HRP-conjugated Goat anti-Rabbit IgG (H+L) (CABS014) at 1:10000 dilution. Lysates/proteins: 25μg per lane. Blocking buffer: 3% nonfat dry milk in TBST. Detection: ECL Basic Kit (AbGn00020). Exposure time: 10s.