THEMIS Antibody is a premium polyclonal that offers outstanding performance and reliability for demanding research applications. Rigorously validated for ELISA, WB, IHC, IF, this antibody ensures consistent, reproducible results across multiple experimental platforms. Demonstrates excellent reactivity with Human samples, providing researchers with confidence in cross-species compatibility. Conveniently packaged in 50ug format to meet your experimental needs. For optimal performance, store at -20°C or -80°C and maintains stability for 12 months. Backed by rigorous quality control testing to ensure superior performance in your critical research applications.
Product Name:
THEMIS Antibody
SKU:
PACO57384
Size:
50μg
Isotype:
IgG
Host Species:
Rabbit
Reactivity:
Human
Immunogen:
Recombinant Human Protein THEMIS protein (547-641AA)
Immunogen Species:
Homo sapiens (Human)
Uniprot No:
Q8N1K5
Form:
Liquid
Tested Applications:
ELISAWBIHCIF
Recommended Dilution:
Application
Recommended Dilution
WB
1:500-1:5000
IHC
1:200-1:500
IF
1:50-1:200
Synonyms:
C6orf190 antibody, C6orf207 antibody, MGC163388 antibody, Protein THEMIS antibody, SIGNALING PHOSPHOPROTEIN SPECIFIC FOR T CELLS antibody, SPOT antibody, THEMIS antibody, THMS1_HUMAN antibody, Thymocyte expressed molecule involved in selection antibody, Thymocyte selection associated antibody, Thymocyte selection pathway associated antibody, Thymocyte-expressed molecule involved in selection antibody, TSEPA antibody
Western Blot Positive WB detected in: Jurkat whole cell lysate, K562 whole cell lysate All lanes: THEMIS antibody at 7.6µg/ml Secondary Goat polyclonal to rabbit IgG at 1/50000 dilution Predicted band size: 74, 70, 63, 78 kDa Observed band size: 74, 70 kDa
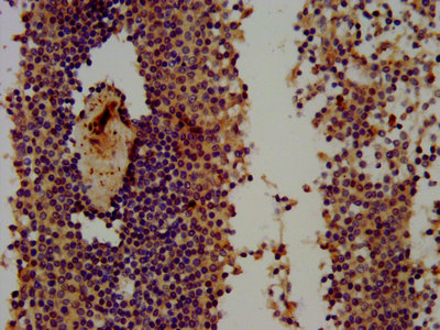
IHC image of PACO57384 diluted at 1:300 and staining in paraffin-embedded human spleen tissue performed on a Leica BondTM system. After dewaxing and hydration, antigen retrieval was mediated by high pressure in a citrate buffer (pH 6.0). Section was blocked with 10% normal goat serum 30min at RT. Then primary antibody (1% BSA) was incubated at 4°C overnight. The primary is detected by a biotinylated secondary antibody and visualized using an HRP conjugated SP system.
Immunofluorescence staining of HepG2 cells with PACO57384 at 1:100, counter-stained with DAPI. The cells were fixed in 4% formaldehyde, permeabilized using 0.2% Triton X-100 and blocked in 10% normal Goat Serum. The cells were then incubated with the antibody overnight at 4°C. The secondary antibody was Alexa Fluor 488-congugated AffiniPure Goat Anti-Rabbit IgG(H+L).