The TRMT2A/HTF9C Polyclonal Antibody (CAB21432) is a high-quality antibody developed for reliable detection and analysis of target proteins. This antibody, produced in rabbits, exhibits high specificity and sensitivity in detecting TRMT2A in human samples, making it suitable for Western blotting applications. By binding to the TRMT2A protein, this antibody allows for precise analysis and visualization of TRMT2A in various cell types, facilitating in-depth investigations in fields such as molecular biology and cancer research.
This antibody is validated for use in WB, IHC-P, ELISA applications and has demonstrated reactivity against Human samples.
Product Name:
TRMT2A/HTF9C Polyclonal Antibody
SKU:
CAB21432
Size:
20μL, 100μL
Reactivity:
Human
Conjugate:
Unconjugated
Immunogen:
Recombinant protein (or fragment).This information is considered to be commercially sensitive.
Recommended starting concentration is 1 μg/mL. Please optimize the concentration based on your specific assay requirements.
Synonyms:
HTF9C, TRMT2A/HTF9C
Positive Sample:
HL-60, Raji, NCI-H460
Cellular Localization:
Cytosol.
Calculated MW:
69kDa
Observed MW:
Refertofigures
The protein encoded by this gene is of unknown function. However, it is orthologous to the mouse Trmt2a gene and contains an RNA methyltransferase domain. Expression of this gene varies during the cell cycle, with aberrant expression being a possible biomarker in certain breast cancers. Several transcript variants encoding two different isoforms have been found for this gene.
Purification Method
Affinity purification
Gene ID
27037
Buffer Information
Store at -20℃. Avoid freeze / thaw cycles. Buffer: PBS containing 50% glycerol, preserved with proclin300 or sodium azide, pH 7.3.
Western blot analysis of various lysates using TRMT2A/HTF9C Rabbit pAb (CAB21432) at 1:1000 dilution. Secondary antibody: HRP-conjugated Goat anti-Rabbit IgG (H+L) (CABS014) at 1:10000 dilution. Lysates/proteins: 25μg per lane. Blocking buffer: 3% nonfat dry milk in TBST. Detection: ECL Basic Kit (AbGn00020). Exposure time: 90s.
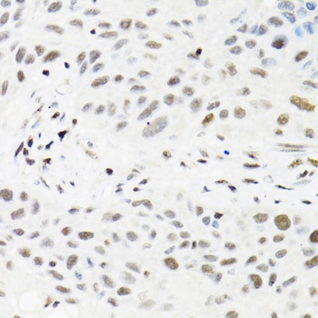
Immunohistochemistry analysis of paraffin-embedded Human lung cancer using TRMT2A/HTF9C Rabbit pAb (CAB21432) at dilution of 1:100 (40x lens). Microwave antigen retrieval performed with 0.01M PBS Buffer (pH 7.2) prior to IHC staining.