ZNF224 Antibody is a premium polyclonal that offers outstanding performance and reliability for demanding research applications. Rigorously validated for ELISA, IHC, IF, this antibody ensures consistent, reproducible results across multiple experimental platforms. Demonstrates excellent reactivity with Human samples, providing researchers with confidence in cross-species compatibility. Conveniently packaged in 50ug format to meet your experimental needs. For optimal performance, store at -20°C or -80°C and maintains stability for 12 months. Backed by rigorous quality control testing to ensure superior performance in your critical research applications.
Product Name:
ZNF224 Antibody
SKU:
PACO59936
Size:
50μg
Isotype:
IgG
Host Species:
Rabbit
Reactivity:
Human
Immunogen:
Recombinant Human Zinc finger protein 224 protein (477-607AA)
Immunogen Species:
Homo sapiens (Human)
Uniprot No:
Q9NZL3
Form:
Liquid
Tested Applications:
ELISAIHCIF
Recommended Dilution:
Application
Recommended Dilution
IHC
1:500-1:1000
IF
1:50-1:200
Synonyms:
BMZF 2 antibody, BMZF-2 antibody, BMZF2 antibody, Bone marrow zinc finger 2 antibody, KOX22 antibody, Zinc finger 2, bone marrow antibody, Zinc finger protein 224 antibody, Zinc finger protein 233 antibody, Zinc finger protein 255 antibody, Zinc finger protein 27 (KOX 22) antibody, Zinc finger protein 27 antibody, Zinc finger protein KOX22 antibody, Zinc finger protein ZNF255 antibody, ZN224_HUMAN antibody, ZNF224 antibody, ZNF255 antibody, ZNF27 antibody
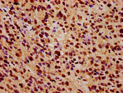
IHC image of PACO59936 diluted at 1:500 and staining in paraffin-embedded human glioma performed on a Leica BondTM system. After dewaxing and hydration, antigen retrieval was mediated by high pressure in a citrate buffer (pH 6.0). Section was blocked with 10% normal goat serum 30min at RT. Then primary antibody (1% BSA) was incubated at 4°C overnight. The primary is detected by a biotinylated secondary antibody and visualized using an HRP conjugated SP system.
Immunofluorescence staining of Hela cells with PACO59936 at 1:166, counter-stained with DAPI. The cells were fixed in 4% formaldehyde, permeabilized using 0.2% Triton X-100 and blocked in 10% normal Goat Serum. The cells were then incubated with the antibody overnight at 4°C. The secondary antibody was Alexa Fluor 488-congugated AffiniPure Goat Anti-Rabbit IgG(H+L).