The NDUFB8 Antibody (CAB20457) is a high-quality antibody developed for reliable detection and analysis of target proteins. Involved in mitochondrial respiratory chain complex I assembly. Located in endoplasmic reticulum and mitochondrion. Part of mitochondrial respiratory chain complex I. Implicated in nuclear type mitochondrial complex I deficiency 32. Biomarker of Alzheimer's disease and Parkinson's disease.
This antibody is validated for use in WB, IHC-P, IF/ICC, ELISA applications and has demonstrated reactivity against Human, Mouse, Rat samples.
Product Name:
NDUFB8 Antibody
SKU:
CAB20457
Size:
100μL, 20μL
Reactivity:
Human, Mouse, Rat
Conjugate:
Unconjugated
Immunogen:
Recombinant protein (or fragment).This information is considered to be commercially sensitive.
Tested Applications:
WBIHC-PIF/ICCELISA
Recommended Dilution:
WB
1:500 - 1:1000
IHC-P
1:50 - 1:200
IF/ICC
1:50 - 1:200
ELISA
Recommended starting concentration is 1 μg/mL. Please optimize the concentration based on your specific assay requirements.
Synonyms:
ASHI, CI-ASHI, MC1DN32, NDUFB8
Positive Sample:
U-251MG, HepG2, A-549, Mouse brain, Mouse heart, Mouse kidney, Rat brain, Rat heart, Rat liver
Involved in mitochondrial respiratory chain complex I assembly. Located in endoplasmic reticulum and mitochondrion. Part of mitochondrial respiratory chain complex I. Implicated in nuclear type mitochondrial complex I deficiency 32. Biomarker of Alzheimer's disease and Parkinson's disease.
Purification Method
Affinity purification
Gene ID
4714
Buffer Information
Store at -20℃. Avoid freeze / thaw cycles. Buffer: PBS containing 50% glycerol, preserved with proclin300 or sodium azide, pH 7.3.
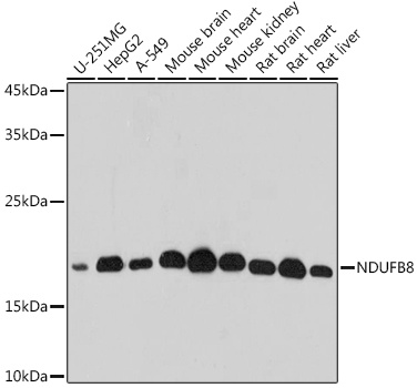
Western blot analysis of various lysates using NDUFB8 Rabbit pAb (CAB20457) at 1:500 dilution. Secondary antibody: HRP-conjugated Goat anti-Rabbit IgG (H+L) (AS014) at 1:10000 dilution. Lysates/proteins: 25μg per lane. Blocking buffer: 3% nonfat dry milk in TBST. Detection: ECL Basic Kit (AbGn00020). Exposure time: 10s.
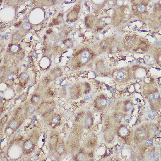
Immunohistochemistry analysis of paraffin-embedded Human liver using NDUFB8 Rabbit pAb (CAB20457) at dilution of 1:100 (40x lens). High pressure antigen retrieval performed with 0.01M Citrate buffer (pH 6.0) prior to IHC staining.
Immunofluorescence analysis of A-549 cells using NDUFB8 Rabbit pAb (CAB20457) at dilution of 1:100 (40x lens). Secondary antibody: Cy3-conjugated Goat anti-Rabbit IgG (H+L) (AS007) at 1:500 dilution. Blue: DAPI for nuclear staining.
Immunofluorescence analysis of NIH/3T3 cells using NDUFB8 Rabbit pAb (CAB20457) at dilution of 1:100 (40x lens). Secondary antibody: Cy3-conjugated Goat anti-Rabbit IgG (H+L) (AS007) at 1:500 dilution. Blue: DAPI for nuclear staining.