The SHMT2 Polyclonal Antibody (CAB21803) is a high-quality antibody developed for reliable detection and analysis of target proteins. This antibody, developed using rabbit antibodies, shows high reactivity with human samples and has been validated for use in Western blot applications. By specifically binding to the SHMT2 protein, this antibody enables accurate detection and analysis in a variety of cell types, making it an essential component for studies in cancer biology and metabolic pathways.SHMT2, a mitochondrial enzyme, is involved in the regulation of one-carbon metabolism, a process essential for nucleotide synthesis and cell growth.
This antibody is validated for use in WB, IHC-P, IF/ICC, IP, ELISA applications and has demonstrated reactivity against Human, Mouse, Rat samples.
Product Name:
SHMT2 Polyclonal Antibody
SKU:
CAB21803
Size:
20μL, 100μL
Reactivity:
Human, Mouse, Rat
Conjugate:
Unconjugated
Immunogen:
Recombinant protein (or fragment).This information is considered to be commercially sensitive.
This gene encodes the mitochondrial form of a pyridoxal phosphate-dependent enzyme that catalyzes the reversible reaction of serine and tetrahydrofolate to glycine and 5,10-methylene tetrahydrofolate. The encoded product is primarily responsible for glycine synthesis. The activity of the encoded protein has been suggested to be the primary source of intracellular glycine. The gene which encodes the cytosolic form of this enzyme is located on chromosome 17. Alternative splicing results in multiple transcript variants.
Purification Method
Affinity purification
Gene ID
6472
Buffer Information
Store at -20℃. Avoid freeze / thaw cycles. Buffer: PBS with 0.09% Sodium azide,50% glycerol,pH7.3.
Western blot analysis of lysates from SW620 cells, using SHMT2 Rabbit pAb (CAB21803) at 1:1000 dilution. Secondary antibody: HRP-conjugated Goat anti-Rabbit IgG (H+L) (CABS014) at 1:10000 dilution. Lysates/proteins: 25μg per lane. Blocking buffer: 3% nonfat dry milk in TBST. Detection: ECL Basic Kit (AbGn00020). Exposure time: 1s.
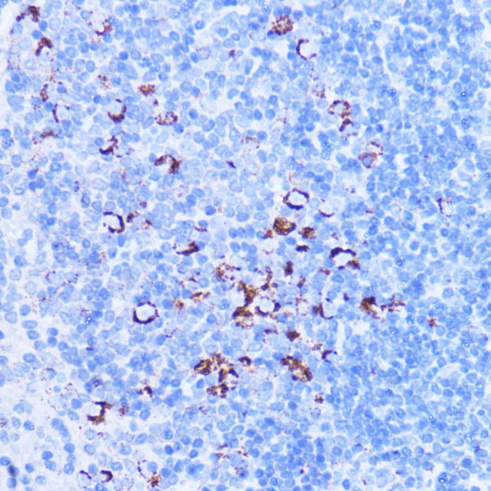
Immunohistochemistry analysis of paraffin-embedded Rat spleen using SHMT2 Rabbit pAb (CAB21803) at dilution of 1:100 (40x lens). Microwave antigen retrieval performed with 0.01M PBS Buffer (pH 7.2) prior to IHC staining.
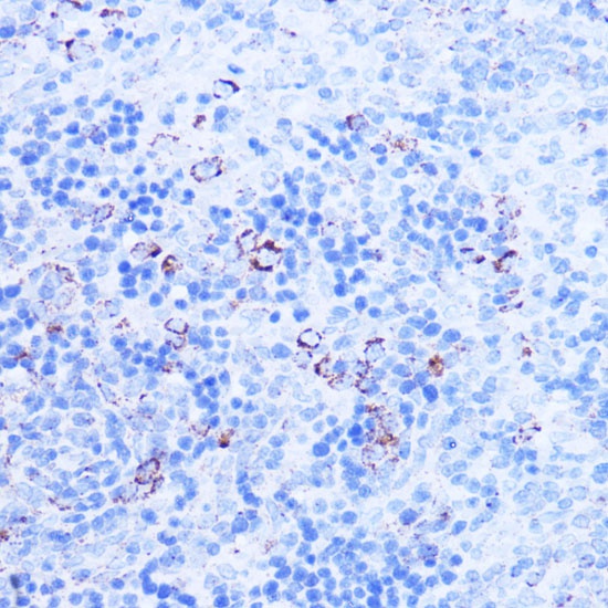
Immunohistochemistry analysis of paraffin-embedded Mouse spleen using SHMT2 Rabbit pAb (CAB21803) at dilution of 1:100 (40x lens). Microwave antigen retrieval performed with 0.01M PBS Buffer (pH 7.2) prior to IHC staining.
Immunofluorescence analysis of L929 cells using SHMT2 Rabbit pAb (CAB21803) at dilution of 1:100. Secondary antibody: Cy3-conjugated Goat anti-Rabbit IgG (H+L) (CABS007) at 1:500 dilution. Blue: DAPI for nuclear staining.
Immunoprecipitation analysis of 200 μg extracts of HeLa cells using 3 μg SHMT2 antibody (CAB21803). Western blot was performed from the immunoprecipitate using SHMT2 antibody (CAB21803) at a dilution of 1:1000.