TTC27 Antibody is a premium polyclonal that offers outstanding performance and reliability for demanding research applications. Rigorously validated for ELISA, WB, IHC, this antibody ensures consistent, reproducible results across multiple experimental platforms. Demonstrates excellent reactivity with Human samples, providing researchers with confidence in cross-species compatibility. Conveniently packaged in 50ug format to meet your experimental needs. For optimal performance, store at -20°C or -80°C and maintains stability for 12 months. Backed by rigorous quality control testing to ensure superior performance in your critical research applications.
Product Name:
TTC27 Antibody
SKU:
PACO50686
Size:
50μg
Isotype:
IgG
Host Species:
Rabbit
Reactivity:
Human
Immunogen:
Recombinant Human Tetratricopeptide repeat protein 27 protein (590-817AA)
Western Blot Positive WB detected in: Hela whole cell lysate, MCF-7 whole cell lysate All lanes: TTC27 antibody at 2.7µg/ml Secondary Goat polyclonal to rabbit IgG at 1/50000 dilution Predicted band size: 97 kDa Observed band size: 97 kDa
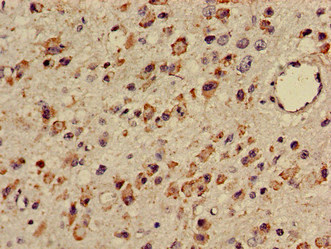
Immunohistochemistry of paraffin-embedded human glioma using PACO50686 at dilution of 1:100
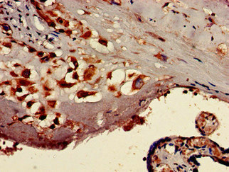
Immunohistochemistry of paraffin-embedded human placenta tissue using PACO50686 at dilution of 1:100