The Aggrecan Antibody (CAB8536) is a high-quality antibody developed for reliable detection and analysis of target proteins. This antibody, produced in rabbits, is highly reactive with human samples and has been validated for use in applications such as Western blot and immunohistochemistry.ACAN, also known as aggrecan, is essential for maintaining the structure and function of cartilage in the body. It plays a crucial role in supporting joint health and mobility, making it a valuable target for studies related to musculoskeletal disorders such as osteoarthritis.
This antibody is validated for use in WB, IHC-P, ELISA, IF-P applications and has demonstrated reactivity against Human, Mouse, Rat samples.
Product Name:
Aggrecan Antibody
SKU:
CAB8536
Size:
20μL, 100μL
Reactivity:
Human, Mouse, Rat
Conjugate:
Unconjugated
Immunogen:
Recombinant protein (or fragment).This information is considered to be commercially sensitive.
This gene is a member of the aggrecan/versican proteoglycan family. The encoded protein is an integral part of the extracellular matrix in cartilagenous tissue and it withstands compression in cartilage. Mutations in this gene may be involved in skeletal dysplasia and spinal degeneration. Multiple alternatively spliced transcript variants that encode different protein isoforms have been observed in this gene.
Purification Method
Affinity purification
Gene ID
176
RRID
AB_2768197
Buffer Information
Store at -20℃. Avoid freeze / thaw cycles. Buffer: PBS with 0.09% Sodium azide,50% glycerol,pH7.3.
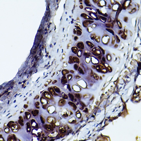
Immunohistochemistry analysis of paraffin-embedded Mouse cartilage using Aggrecan Rabbit pAb (CAB8536) at dilution of 1:50 (40x lens). High pressure antigen retrieval performed with 0.01M Citrate buffer (pH 6.0) prior to IHC staining.
Immunohistochemistry analysis of paraffin-embedded Rat cartilage using Aggrecan Rabbit pAb (CAB8536) at dilution of 1:50 (40x lens). High pressure antigen retrieval performed with 0.01M Citrate buffer (pH 6.0) prior to IHC staining.
Immunofluorescence analysis of Rat cartilage tissue using Aggrecan Rabbit pAb (CAB8536) at a dilution of 1:100 (40x lens). Secondary antibody: Cy3-conjugated Goat anti-Rabbit IgG (H+L)(CABS007) at 1:500 dilution. Blue: DAPI for nuclear staining. High pressure antigen retrieval performed with 0.01M Citrate Buffer(pH 6.0) prior to IF staining.