The CTAGE1 Antibody (CAB13228) is a high-quality antibody developed for reliable detection and analysis of target proteins. This antibody, generated in rabbits, has high specificity for human samples and has been validated for use in Western blotting and immunohistochemistry applications. By binding to the CTAGE1 protein, this antibody enables accurate detection and analysis in a variety of cell types, making it an invaluable tool for immunology and cancer research.CTAGE1, also known as cancer/testis antigen 1, plays a crucial role in the presentation of tumor antigens to the immune system, making it a promising target for cancer immunotherapy research.
This antibody is validated for use in WB, ELISA applications and has demonstrated reactivity against Human, Mouse, Rat samples.
Product Name:
CTAGE1 Antibody
SKU:
CAB13228
Size:
20μL, 100μL
Reactivity:
Human, Mouse, Rat
Conjugate:
Unconjugated
Immunogen:
Recombinant protein (or fragment).This information is considered to be commercially sensitive.
Recommended starting concentration is 1 μg/mL. Please optimize the concentration based on your specific assay requirements.
Synonyms:
CTAGE, CT21.1, CT21.2, CTAGE-1, CTAGE-2, CTAGE1
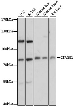
Positive Sample:
LO2, K-562, Mouse liver, Mouse heart, Rat liver
Cellular Localization:
Membrane, Multi-Pass Membrane Protein.
Calculated MW:
85kDa
Observed MW:
85kDa
Predicted to be involved in endoplasmic reticulum to Golgi vesicle-mediated transport; protein secretion; and vesicle cargo loading. Predicted to be integral component of membrane. Predicted to be active in endoplasmic reticulum exit site and endoplasmic reticulum membrane.
Purification Method
Affinity purification
Gene ID
64693
RRID
AB_2760081
Buffer Information
Store at -20℃. Avoid freeze / thaw cycles. Buffer: PBS with 0.01% thimerosal,50% glycerol,pH7.3.
Western blot analysis of various lysates using CTAGE1 Rabbit pAb (CAB13228) at 1:3000 dilution. Secondary antibody: HRP-conjugated Goat anti-Rabbit IgG (H+L) (CABS014) at 1:10000 dilution. Lysates/proteins: 25μg per lane. Blocking buffer: 3% nonfat dry milk in TBST. Detection: ECL Basic Kit (AbGn00020). Exposure time: 1s.