The TET2 Antibody (CAB1526) is a high-quality antibody developed for reliable detection and analysis of target proteins. This antibody, produced in rabbits, exhibits high specificity and sensitivity for detecting TET2 in human samples, making it a reliable choice for Western blot applications.TET2 is crucial for maintaining normal hematopoiesis and has been implicated in various hematologic malignancies, including leukemia and myelodysplastic syndromes.
This antibody is validated for use in WB, IHC-P, ELISA applications and has demonstrated reactivity against Human, Mouse, Rat samples.
Product Name:
TET2 Antibody
SKU:
CAB1526
Size:
20μL, 100μL
Reactivity:
Human, Mouse, Rat
Conjugate:
Unconjugated
Immunogen:
Recombinant protein (or fragment).This information is considered to be commercially sensitive.
Recommended starting concentration is 1 μg/mL. Please optimize the concentration based on your specific assay requirements.
Synonyms:
MDS, IMD75, KIAA1546, TET2
Positive Sample:
Mouse heart
Cellular Localization:
Nucleus.
Calculated MW:
224kDa
Observed MW:
250kDa
The protein encoded by this gene is a methylcytosine dioxygenase that catalyzes the conversion of methylcytosine to 5-hydroxymethylcytosine. The encoded protein is involved in myelopoiesis, and defects in this gene have been associated with several myeloproliferative disorders. Two variants encoding different isoforms have been found for this gene.
Purification Method
Affinity purification
Gene ID
54790
RRID
AB_2762158
Buffer Information
Store at -20℃. Avoid freeze / thaw cycles. Buffer: PBS containing 50% glycerol, preserved with proclin300 or sodium azide, pH 7.3.
Western blot analysis of lysates from Mouse heart, using TET2 Rabbit pAb (CAB1526) at 1:1000 dilution. Secondary antibody: HRP-conjugated Goat anti-Rabbit IgG (H+L) (CABS014) at 1:10000 dilution. Lysates/proteins: 25μg per lane. Blocking buffer: 3% nonfat dry milk in TBST. Detection: ECL Basic Kit (AbGn00020). Exposure time: 10s.
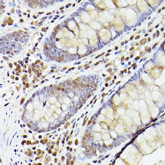
Immunohistochemistry analysis of paraffin-embedded Human colon using TET2 Rabbit pAb (CAB1526) at dilution of 1:100 (40x lens). High pressure antigen retrieval performed with 0.01M Citrate buffer (pH 6.0) prior to IHC staining.